Knee arthritis primarily causes pain and loss of function.
- Pain: This can range from a dull ache to sharp pain, especially when moving your knee. It may be worse on one area of the knee, such as the inside or behind the knee cap which can give give some indication about where the arthritis is worst.
- Stiffness: Difficulty bending or straightening your knee, particularly after periods of inactivity.
- Swelling: The knee might appear swollen and tender to the touch.
- Decreased Mobility: Walking, climbing stairs, or engaging in other activities may become challenging.
- Grinding Sensation: You may feel or hear a grinding sensation (crepitus) when moving your knee.
Knee arthritis is often attributed to the concept of "wear, tear, flare, repair." Over time, the cartilage that cushions the knee joint can degrade, leading to pain and inflammation. Arthritis, which means "inflammation of the joint," can stem from several underlying causes:
- Osteoarthritis: The most common type, caused by the wear and tear of cartilage over time.
- Rheumatoid Arthritis: An autoimmune condition where the immune system attacks the joint lining, causing inflammation.
- Post-Traumatic Arthritis: Develops after an injury to the knee, such as a fracture or ligament tear, leading to cartilage damage.
- Gout and Pseudogout: Metabolic conditions where crystals form in the joint, causing acute inflammation.
Knee arthritis can affect patients differently depending on their age:
- Younger Individuals: More likely to experience arthritis due to injury, overuse, or genetic predisposition. Symptoms may be more activity-related.
- Older Adults: Often experience arthritis due to the natural aging process. Symptoms may become more pronounced over time and interfere with daily activities.
To diagnose knee arthritis, doctors may recommend several investigations in addition to taking a thorough history of your symptoms and undertaking a physical examination to assess the knee’s range of motion, strength, and stability.
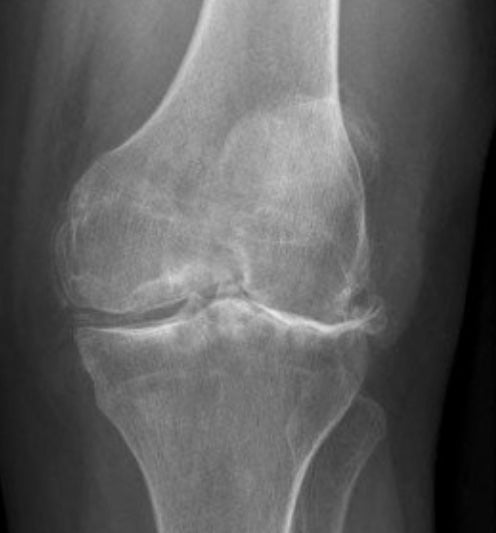
- X-ray images can reveal joint space narrowing, bone spurs, and other changes associated with arthritis as well as providing important information about your bony alignment.
- MRI provides detailed images of the knee’s soft tissues, including cartilage, ligaments, and tendons, to identify the extent of damage.
- Ultrasound is a useful 'point of care' tool to look for irregularity of the joint line, which is clearly visible on ultrasound scan as well as for assessing the extent of knee swelling, and looking for co-existing problems in the soft tissues such as injuries to the tendons or meniscus.
- Blood Tests can help to rule out inflammatory types of arthritis like rheumatoid arthritis.
Treatment for knee arthritis is tailored to each patient’s needs, considering factors like age, severity of symptoms, and patient preferences. Here are some common treatment options:
- Analgesia: Pain relief medications, such as paracetamol or anti-inflammatory drugs such as ibuprofen or naproxen can help to reduce pain and inflammation.
- Exercise: Regular, low-impact exercises such as swimming or cycling can strengthen the muscles around the knee, improving support and reducing pain and stiffness.
- Physiotherapy: A physical therapist can guide patients through specific exercises to enhance knee function, improve range of motion, and reduce symptoms.
- Knee Supports: Devices like a knee offloader brace can help redistribute weight and reduce stress on the knee joint.
- Injections:
- Corticosteroids: To reduce inflammation and provide temporary pain relief.
- Hyaluronic Acid: Acts as a lubricant to improve joint movement and reduce pain.
- Platelet-Rich Plasma (PRP): May promote healing and reduce inflammation by utilising the patient's own blood components.
- Arthrosamid: Thought to work by reducing inflammation in the joint lining (synovium) rather than simply cushioning the joint. This helps decrease pain and improve joint function.
Not all treatments are suitable for every patient. A comprehensive treatment plan should be individualised, taking into account factors such as age, level of function, severity of symptoms, and imaging findings. Doctors and physiotherapists will work with patients to determine the best approach.
For those with advanced arthritis and severe symptoms, knee replacement surgery (arthroplasty) may be necessary. This procedure involves replacing the damaged joint surfaces with artificial components, significantly improving pain and function for many patients.
Knee arthritis is a complex condition that can cause significant pain and limit activities. By understanding the symptoms, causes, and treatment options, patients can take proactive steps to manage this condition.

